2026年02月28日
脳がなくても、人間は生きていける。世間で「能無し」と蔑まれても希望は捨てないほうがいい。
ノア・ウォールが生まれたとき、医師は生存は難しいと告げた。仮に生き延びても、重い身体的・発達的障害が残る可能性が高いという見通し。イングランド・カンブリアの家庭に、脳の2%だけを持って誕生したノアくん。医師の見立てでは希望はないという判断。
ノア・ウォールが生まれたとき、医師は生存は難しいと告げた。仮に生き延びても、重い身体的・発達的障害が残る可能性が高いという見通し。イングランド・カンブリアの家庭に、脳の2%だけを持って誕生したノアくん。医師の見立てでは希望はないという判断。
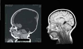
胎内で、二分脊椎のまれな合併症を発症。頭蓋骨の内部が液体で満たされ、脳が「薄い一片の組織」まで圧迫されたと英紙ミラーは伝える。両親のシェリーとロブは、5度にわたり中絶を勧められた。中絶は拒否。出生後、背中に開いた傷を閉じ、脳内の液体を排出するためのシャントを装着。
両親は小さな棺まで用意。しかし息子をかけがえのない贈り物と信じ続けた。自宅に迎え、家族全員で絶え間ない愛情と世話を注ぎ続ける。24時間体制の支え。やがて医学的常識を破って脳は成長。さらに成長。
3歳時の脳スキャンで、脳は正常の約80%まで拡大。英国の全国放送が、その歩みを記録。
家族は神経の発達を促すため、脳への刺激を続けている。ニューカッスルのグレート・ノース小児病院の脳神経外科医クレア・ニコルソン医師は、「並外れた子ども、そして並外れた両親」と評価。
いつも笑顔。言葉と行動に思いやりと愛情。読み書きを学び、数を数え、学校に通う。脳の発達は予想を超えて継続中。股関節の手術後、将来は自力歩行の可能性。これまでの経過を見れば、その実現を信じる理由は十分。
大人で脳が数パーセントしかないのとは話が違うように思えるが、普通に社会生活を営み、結婚して二人の子の親になった男性もいる。
【関連記事】
・頭の中がほとんど空洞化、脳がわずかしか存在しないのに44歳まで普通に暮らしてきた男性
両親は小さな棺まで用意。しかし息子をかけがえのない贈り物と信じ続けた。自宅に迎え、家族全員で絶え間ない愛情と世話を注ぎ続ける。24時間体制の支え。やがて医学的常識を破って脳は成長。さらに成長。
3歳時の脳スキャンで、脳は正常の約80%まで拡大。英国の全国放送が、その歩みを記録。
家族は神経の発達を促すため、脳への刺激を続けている。ニューカッスルのグレート・ノース小児病院の脳神経外科医クレア・ニコルソン医師は、「並外れた子ども、そして並外れた両親」と評価。
いつも笑顔。言葉と行動に思いやりと愛情。読み書きを学び、数を数え、学校に通う。脳の発達は予想を超えて継続中。股関節の手術後、将来は自力歩行の可能性。これまでの経過を見れば、その実現を信じる理由は十分。
大人で脳が数パーセントしかないのとは話が違うように思えるが、普通に社会生活を営み、結婚して二人の子の親になった男性もいる。
【関連記事】
・頭の中がほとんど空洞化、脳がわずかしか存在しないのに44歳まで普通に暮らしてきた男性
この記事の先頭に戻る
